Pilz & Pilz - Lateraler Kreuzbiss – wenn Ober- und Unterkiefer nicht richtig zusammenpassen
16. Januar 2026Haben Sie sich schon einmal gefragt, was eigentlich einen „richtigen“ Biss ausmacht? Wie sollten Ober- und Unterkiefer idealerweise zueinander stehen – und woran erkennt man, wenn etwas nicht stimmt? Ein harmonischer Biss ist nicht nur wichtig für schöne Zähne, sondern auch für eine gesunde Kieferentwicklung. In diesem Beitrag möchten wir Ihnen erklären, was ein lateraler Kreuzbiss ist, wie er entsteht, woran Sie ihn erkennen können und warum eine frühzeitige Behandlung besonders bei Kindern so wichtig ist.
Haben Sie sich schon mal gefragt, was eigentlich ein richtiger Biss bedeutet?
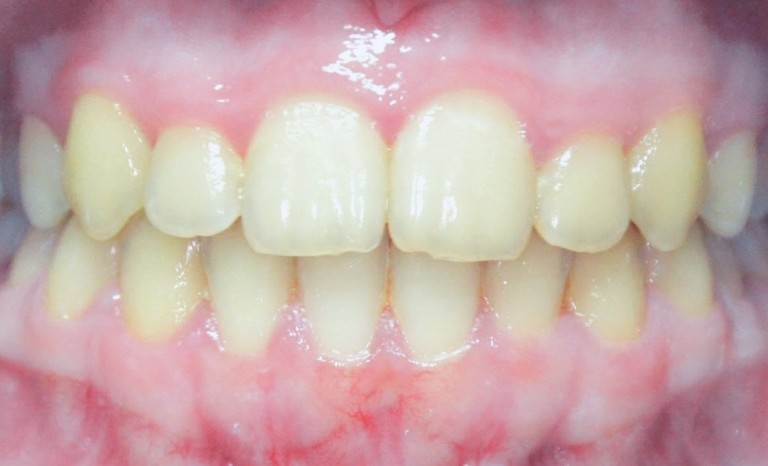
Wie sollten dabei die Zähne stehen und aussehen? Auf dem Bild 1 sieht man das perfekt verzahnte Gebiss, der Oberkiefer beißt über den Unterkiefer, die Mitten der Kiefer zueinander ergibt eine Linie.


Woran erkennt man einen lateralen Kreuzbiss?
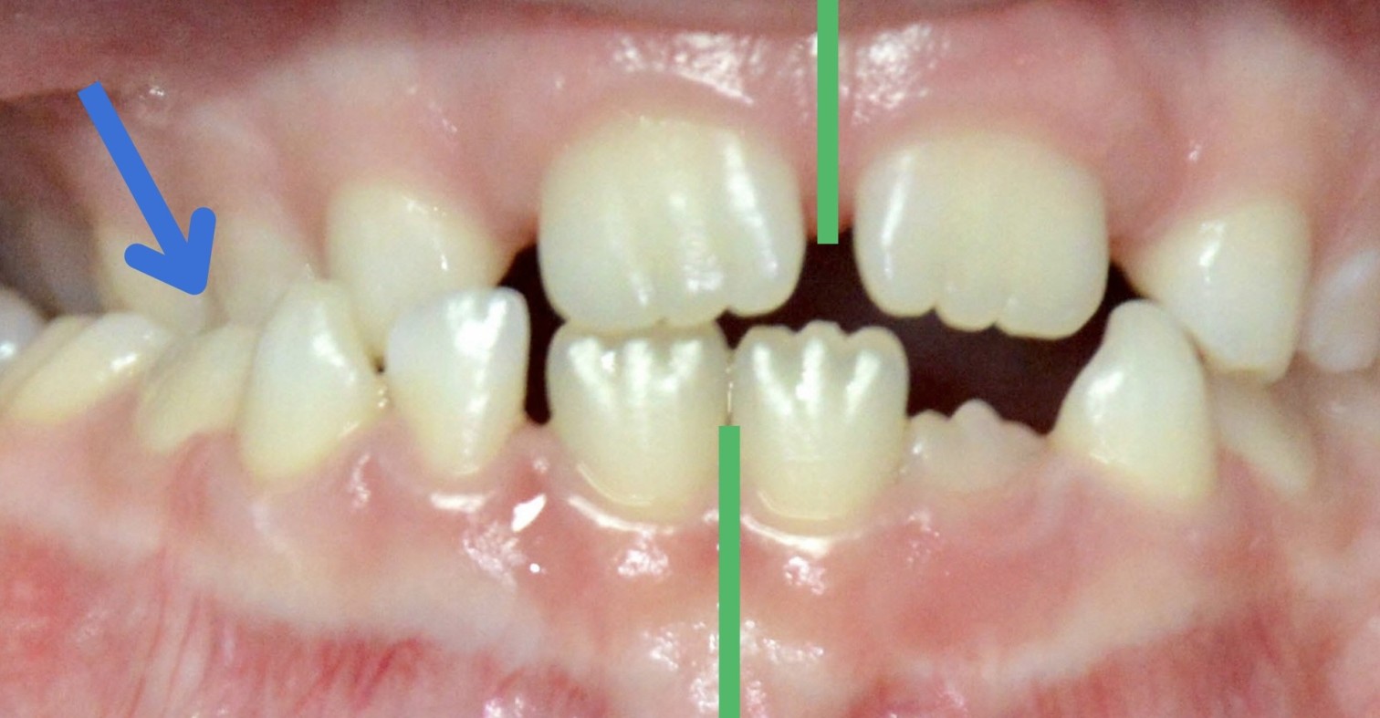
Jetzt stellen wir uns einmal vor, wir schauen in eine Mund und es sieht so aus wie auf Bild 2: Hier stimmt doch etwas nicht. Bei der genaueren Betrachtung fällt auf, dass der Oberkiefer auf der rechten Seite des Patienten zu schmal ist und nicht über den Unterkiefer beißen kann.
Dadurch stehen die unteren Zähne auf der Seite weiter außen als die oberen. Der Unterkiefer ist zu einer Seite verschoben. Diesen Biss nennen wir Kreuzbiss, da sich ab einem bestimmten Zahn – hier Eckzahn – die Seiten kreuzen. Zusätzlich ist die Mittellinie zur Seite des Kreuzbisses verschoben (grüne Striche).
Was bedeutet Zwangsbiss und wie entsteht er?
Warum bei einem Kreuzbiss häufig auch ein Zwangsbiss vorliegt, können Sie bei ihrem Kind eventuell selbst beobachten. Lassen Sie ihr Kind langsam zubeißen und beobachten Sie, dass die meisten Kinder zuerst gerade schließen und erst am Ende der Schließbewegung der Unterkiefer zu einer Seite schwenkt, eben zur Seite des Kreuzbisses. Gerade zuzubeißen ist nicht möglich, weil der Oberkiefer zu schmal gewachsen ist. Um trotz des Platzmangels einen Bissschluss zu ermöglichen, ist der Unterkiefer „gezwungen“, seitlich auszuschwenken. Daher heißt der Biss auch Zwangsbiss.
Welche Folgen kann ein unbehandelter Kreuzbiss haben?
Je länger ein Zwangsbiss besteht, desto mehr asymmetrisches Wachstum findet statt und es kann zu Auswirkungen auf das Gesicht und den ganzen Körper kommen.
Wie entsteht ein Kreuzbiss?
Jetzt fragen Sie sich bestimmt, wodurch so ein Kreuzbiss entstehen kann. Häufig hat es mit einer mangelnden Kaubelastung zu tun. Die Kiefer entwickeln sich nicht optimal und der Oberkiefer ist dadurch zu schmal. Auch kauen diese Kinder meistens nur auf einer Seite, es gibt also eine Lieblingskauseite. Betrachten wir uns selbst, kann es auch sein, dass man meistens auf derselben Seite anfängt zu kauen, dann aber gleichmäßig verteilt kaut. Das machen diese Kinder nicht.
Welche Rolle spielen Kauen und Zungenlage?
Um das zu verbessern, gibt es Videos, welche das richtige Kauen erläutern. Auch die falsche Lage der Zunge kann einen Kreuzbiss begünstigen, da die Zunge der Wachstumsmotor für unseren Oberkiefer ist und die Zunge in Ruhe immer am Oberkiefer liegen sollte.
Welche Behandlungsmöglichkeiten gibt es bei einem Kreuzbiss?
Ein Kreuzbiss kann auf verschiedene Arten behandelt werden. Wichtig ist dabei, den Biss des Kindes zu sperren, damit die Zähne sich aneinander vorbei bewegen können. Der Biss sollte so weit gesperrt werden, damit dass Kind nicht in den Zwangsbiss rutscht. Dabei können herausnehmbare Spangen helfen. Auch sollte der Oberkiefer in seiner Breite vergrößert werden. Dazu gibt es festsitzende oder herausnehmbare Apparaturen. Unterstützend ist das Training der richten Zungenruhlage und das beidseitige Kauen wichtig.
Falls Sie bei ihrem Kind einen Kreuzbiss entdecken, ist es dringend erforderlich einen Kieferorthopäden aufzusuchen, um möglichst schnell diesen Kreuzbiss zu behandeln und einem asymmetrischen Wachstum entgegenzuwirken.
Ihr Team 🍄&🍄
Quellen:
Dr. Andrea Freudenberg, Expertin für mykie® - myofunktionelle Kieferorthopädie
Pilz & Pilz - Fachzahnärzte für Kieferorthopädie - Dr. Peter Pilz & Dr. Lena Pilz