Pilz & Pilz - Zähne schützen wie mit einem Airbag – so beugen Sie Frontzahnverletzungen bei Kindern vor
14. November 2025Haben Sie schon einmal von einem Airbag für Zähne gehört? Tatsächlich besitzen wir so etwas – und zwar ganz natürlich: unsere Lippen. Doch wenn Kinder ständig mit offenem Mund atmen oder eine stark vergrößerte Frontzahnstufe haben, funktioniert dieser Schutzmechanismus nicht mehr richtig. Lesen Sie, wie Sie das Risiko für schwere Zahnverletzungen einfach senken können.
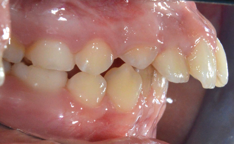
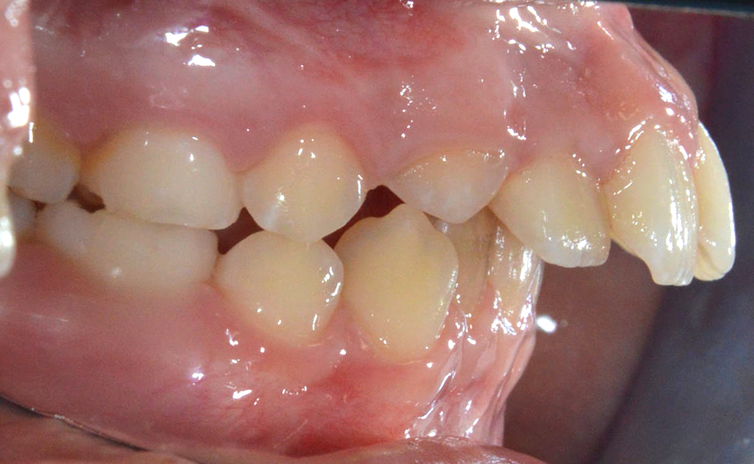
Die Lippen schützen die Zähne bei einem Sturz, Schlag oder einem Unfall. Stellen Sie sich mal vor, bei Ihrem Kind stehen die Frontzähne stark hervor, das heißt Ihr Kind hat eine große Frontzahnstufe (hier 10mm – normal sind 2-3mm). Es ist dann gar nicht möglich, ohne Mühe die Lippen zu schließen. Die Lippen sind dann meistens geöffnet, die Zähne schauen aus dem Mund heraus. Ein Sturz kann fatale Folgen haben.

Von kleinen Rissen oder Absplitterungen bis hin zu Zahnfrakturen oder sogar Zahnverlust. Da mit 6 Jahren die bleibenden Zähne durchbrechen, leiden eben die bleibenden Frontzähne, also genau die Zähne, die wir für unser ganzes Leben gerne besonders hübsch weiß und gerade hätten.

Offene Mundhaltung mit vergrößerter Frontzahnstufe erhöht die Verletzungsgefahr für die Schneidezähne im Oberkiefer
Damit der körpereigene Airbag seine Funktion erfüllen kann, ist der mühelose und dadurch häufige Lippenschluss essenziell. Die Lippen üben bei einem kompetenten Lippenschluss Druck auf die Frontzähne aus und sorgen dafür, dass diese in einer physiologischen Position stehen. Fehlt dieser Druck durch beispielweise eine offene Mundhaltung, kann eine große Frontzahnstufe entstehen.
Präventiv lässt sich das verhindern, indem ein kompetenter Lippenschluss geübt wird und eine Mundatmung zu einer Nasenatmung umtrainiert wird. Dazu gibt es Online-Training-Videos, falls Ihnen bei ihrem Kind eine offene Mundhaltung, ein inkompetenter Lippenschluss oder eine große Frontzahnstufe schon aufgefallen sind: https://mykie-trainings.de/.
Wichtig ist auch, die Zähne zum Beispiel bei bestimmten sportlichen Aktivitäten zu schützen, um ein Zahntrauma zu verhindern. Dazu gibt es konfektionierte und individuelle spezielle Sportmundschutz-Schienen von ihrem Kieferorthopäden.

Doch was sollte gemacht werden, wenn ihr Kind schon eine sehr große Frontzahnstufe hat und der Mund meist offen steht? Dann ist es Zeit, eine kieferorthopädische Praxis aufzusuchen. Diese Fehlstellung ist eine eindeutiges Zeichen, dass eine kieferorthopädische Behandlung notwendig ist. Es ist nachgewiesen, dass dadurch die Gefahr eines dentalen Traumas reduziert werden kann.
Weiter Informationen zu möglichen Behandlungen und weiteres Wissen können sie unter www.mykie.de finden.
Ihr Team 🍄&🍄